skip to main
|
skip to sidebar
PhotoStorrey
Ophthalmic Photography
Tuesday, October 23, 2007
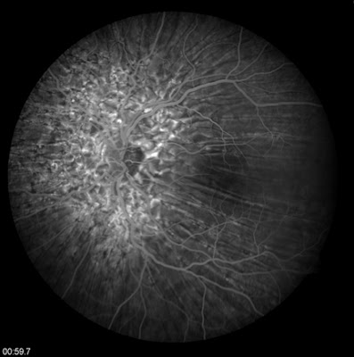
Angiogram of Maculopathy.
Red Free of Maculopathy.
Really Cool Pictures
Hi All,
This is a really cool Angiogram I shot today. It's of Maculopathy (working diagnosis).
Saturday, October 20, 2007
ICG
videos: Some of my first attempts at imaging the
choroid
.
Here is number 2:
Friday, October 19, 2007
Hi
This is my first time blogging so it may take a little while for me to get up and running.
Thank you
Storrey
Newer Posts
Home
Subscribe to:
Comments (Atom)
About Me
PhotoStorrey
Chicago, IL, United States
View my complete profile
Blog Archive
►
2015
(1)
►
December
(1)
►
2012
(5)
►
September
(5)
►
2010
(2)
►
November
(2)
►
2008
(8)
►
October
(3)
►
May
(1)
►
April
(2)
►
January
(2)
▼
2007
(5)
▼
October
(5)
Angiogram of Maculopathy.
Red Free of Maculopathy.
Really Cool Pictures
ICG videos: Some of my first attempts at imaging t...
Hi